Dental Implants
Missing teeth can make a person feel self-conscious. Dental implants are a popular procedure used to permanently replace missing teeth, providing a “smile makeover” that enhances both appearance and confidence. These implants are a durable, natural-looking solution for restoring your smile.
We custom craft new permanent teeth in-house guaranteeing you a custom fit.
What is a Dental Implant?
If you’ve lost a tooth, a dental implant is one of the best ways to bring your smile back. Think of it as a brand-new tooth that looks and feels natural.
Here’s how it works:
- A tiny titanium post is gently placed in your jaw to act like the root of a tooth.
- Your bone naturally bonds with it, creating a strong and secure foundation.
- On top of that, we attach a custom-made crown designed to match your natural teeth perfectly.
The result? Replacement tooth/teeth that blends right in, letting you eat, talk, and smile with total confidence.
Full Mouth Restoration
Also known as All-on-4, this treatment replaces all upper or lower teeth with a secure, natural-looking smile. Done entirely in our in-house lab, it restores confidence, supports bone health, makes eating easier, and helps you look and feel younger so you can enjoy life with comfort and confidence again.
Single Tooth Implants
A Single Tooth Implant is a natural-looking, long-lasting way to replace one missing tooth. The implant acts like a new root, and a custom crown is placed on top to match your surrounding teeth. With our in-house lab, your new tooth can often be completed in just one day restoring your smile, comfort, and confidence.
Implant Bridges
Implant Supported Bridges are ideal for several missing teeth. The implants act as anchors for the bridge of new permanent teeth restoring youthful appearance and function. Crafted in our in-house lab in a single day, an implant supported bridge brings back your original smile and permits you to chew evenly, speak more clearly, and smile wider.
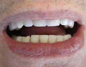
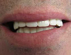
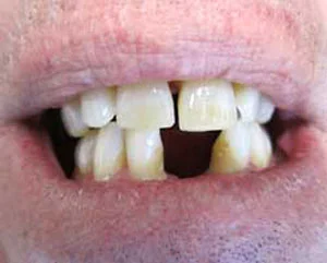
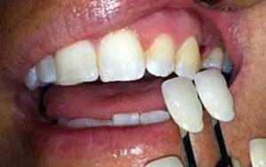
Dental Implant Case Studies
Dental Implant Testimonials
Hours
Mon | 8AM – 2PM
Tues | 8AM – 3:30PM
Weds | 8AM – 3:30PM
Thurs | 8AM – 3:30PM
Fri | 8AM – 2PM
Sat | Closed
Sun | Closed
Contact
Sewell Dental Arts
400 Ganttown Road,
Sewell New Jersey, 08080
Phone: (856) 582-2220
Email: info@sewelldentalarts.com









